Մակաբույծներն ուրիշ օրգանիզմների՝ այսպես կոչված տերերի հաշվին սնվող և դրանց վնասող օրգանիզմներ են: Նրանք սովորաբար ախտահարում, թուլացնում ու հյուծում են տիրոջ օրգանիզմը, իսկ եթե տերը չի հիվանդանում, դառնում է մակաբուծակիր ու դրանց տարածման աղբյուր:
9. Սիմոթո Իքսիգուեյ (Cymothoa Exigua)

Այս մակաբույծը նաև անվանում են «լեզվակեր ոջիլ»: Սրանք հիմնականում ձկների լեզվին են լինում` դրա օրգանիզմ են մտնում ջրի միջոցով ու կպչում լեզվի հիմքին: Այս մակաբույծներն իրենց արջևի ժանիքներով սկսում են ներծծել արյունն ու շուտով լեզուն արյունաքամ անելով հյուծում այն, որից հետո արդեն մակաբույծի մարմինը կպչում է լեզվի մնացորդի մկաններին ու փաստորեն փոխարինում բուն լեզվին: Որպես այդպիսին, նրանք վնասակար չեն մարդկանց համար, եթե կենդանի չբռնվեն, որի դեպքում կարող են կծել:
8. Լոա-լոա աչքի աֆրիկյան որդ

Այս մակաբույծը հայտնի է «աչքի որդ» անունով և մարդու օրգանիզմ է թափանցում եղջերաճանճի խայթոցի միջոցով: Այն մարդու մաշկի տակ հյուսվածքներով տարիներով շարժվում է, մինչև որ մի օր մարդ ինչ-որ տարօրինակ բան է զգում իր աչքի մեջ ու հայելու մեջ նայելով` տեսնում, որ հենց աչքի մեջ որդ կա: Այս որդերը հիմնականում հանդիպում են Հնդկաստանում և Աֆրիկայում, իսկ սրանց ախտանիշներն են սովորական քոր, ցավը, մինչև իսկ օրգանիզմի թուլությունն ու նույնիսկ մահը:
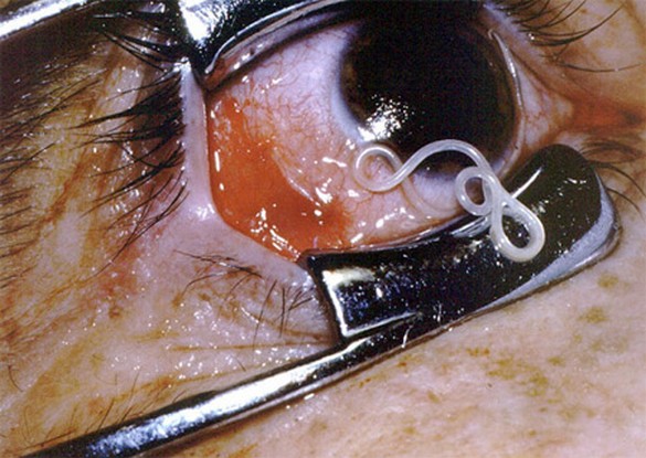
7. Դրակունկուլուս մեդինենսիս (Draculus Medinensis) կամ Գվինեական որդ

«Գվինեական որդ» անունն ունեցող այս մակաբույծը պատմության մեջ հայտնի մարդու ամենահին մակաբույծներից է, և սրա մասին պատմությունները հայտնի են դեռևս Ք.ա. երկրորդ դարից հույն պատմագիրների կողմից: Այն վնասում կամ կպչում է մարդկանց, շներին, կատուներին, ձիերին, խոշոր եղջերավոր անասուններին և այլ կենդանիների, հատկապես Աֆրիկայում և Ասիայում:
Այս մակաբույծը օրգանիզմ է մտնում աղտոտված ջրի օգտագործման դեպքում: Մոտ մեկ տարի անց օրգանիզմ ներթափանցած այս որդը պալարների տեսքով հայտնվում է մարդու մաշկի վրա, սովորաբար ոտքին կամ ոտքի թաթին: 72 ժամվա ընթացքում պալարները պատռվում են, և երևում է որդի մի մասը: Այս պալարները խիստ ցավոտ են ու այրման զգացում են առաջացնում: Մարդիկ հաճախակի ջրի մեջ են դնում ոտքը, որպեսզի հանգստացնեն վերքի այրոցը, այնինչ դրանով նրանք խթանում են էգ մակաբույծին հարյուր հազարավոր թրթուրներ ձվադրել ու վարակել նաև ջուրը:
6. Ֆիլարիալ որդեր` առաջացնում են փղախտ և կուրություն

Այս մակաբույծները մեկ օրգանիզմից փոխանցվում են մյուսին արնախում միջատների կողմից, հիմնականում սև ճանճերի և մոծակների միջոցով: Այս մակաբույծերը կարող են փղախտի պատճառ դառնալ, որի արդյունքում մաշկը և դրա ներքևի հյուսվածքները սկսում են կոշտանալ: Այս որդերը կրելը կարող է արտահայտվել նաև մաշկին կարմիր ցանով, բշտիկներով ու արթրիտով, ինչպես նաև հիպերպիգմենտացիայով` երբ մաշկի գույնը սկսում է փոխվել:
Այս մակաբույծները վարակում են մարդկանց, խոշոր եղջերավոր կենդանիներին, ոչխարներին և շներին: Այս մակաբույծների մասին հիշատակվել է դեռևս անտիկ հունական գրականության մեջ, չնայած դրա մասին կարելի է նաև գտնել անտիկ եգիպտական նշումներում մինչև Ք.ա. 2000թ.-ը: Նույնիսկ շարժում է սկսվել այս մակաբույծի դեմ պայքարելու նպատակով, համաձայն որի` մինչև 2020թ. պետք է ամբողջովին ազատվել այս մակաբույծներից: Սրա շնորհիվ արդեն մոտ 6.6 միլիոն այս մակբույծների նոր վարակներ են կանխվել:
5. Օֆիոկորդայսեփս Ունիլատերալիս (Ophiocordyceps Unilateralis)

Այս մակաբույծները հիմնականում վարակում են մրջյուններին, իսկ վարակված այս մրջյուններին հիմնականում անվանում են «զոմբի մրջյուններ»: Ինչպես զոմբիների մասին սարսափ ֆիլմերում, այս մրջյուններն էլ վարակվելով մակաբույծներով կորցնում են իրենց սովորական պահելաձևը` ընկնում են ծառերից, ժանիքները խրում են տերևների մեջ ու այդպես անշարժ մնում, մինչև մահանում են: Իսկ մակաբույծները, սնվելով մահացած մրջյունի հյուսվածքներով, սկսում են աճել` դրանից դուրս արտազատելով սպորները:
4. Քոտեզիա Գլոմերատա (Cotesia Glomerata)

Երբ իշամեղուն խայթում է թրթուրներին և իր էմբրիոնները խայթոցի միջոցով տեղադրում դրա մարմնում, այս էմբրիոնները 14 օր մնում ու զարգանում են թրթուրներում: Իսկ դրանից հետո իրենց օրգանիզմում ԴՆԹ-ի վարակն օգտագործելով կաթվածահարում են այն օրգանիզմին, որտեղ գտնվում են: Այնուհետև դրանք դուրս են գալիս թրթուրների օրգանիզմից ու սկսում են բոժոժներ հյուսել: Հետաքրքիր է, որ երբ այս հասուն էմբրիոնները դուրս են գալիս թրթուրից ու բոժոժներ հյուսում, այս թրթուրը միգուցե վարակի ազդեցությամբ բոժոժների վրա մետաքսյա վերմակ է հյուսում այլ միջատներից պաշտպանելու համար, մինչև որ բոժոժների մեջ իշամեղուները վերջնականապես հասունանում են` պատրաստ թռչելու:
3. Սակուլինա (Sacculina)

Այս մակաբույծները հիմնականում վարակում են ծովախեցգետիններին: Դրանք կիսով չափ անդամահատում են այն օրգանիզմը, որտեղ հայտնվում են, որպեսզի կառավարեն դրա սեռական վերարտադրությունը, կամ ի վերջո նրանք սպանում են դրան, եթե ծովախեցգետինը էգ է: Մակաբույծներն օգտագործում են էգ ծովախեցգետնի օրգանիզմը` դրանում թրթուրներ դնելու, զարգացնելու և աճեցնելու համար: Իսկ արու ծովախեցգետիների մեջ այս մակաբույծները կարողանում են ձևափոխել դրա օրգանիզմն այնպես, որ այն սկլսում է գործել, ինչպես էգինը:
2. Նիֆանդա Ֆուսկա (Niphanda Fusca)

Որպես թրթուր այս մակաբույծ թիթեռները գողանում են մրջյունների կամպոնոտուս ջապոնիկաս տեսակի սնունդը: Մտնելով մրջյուննենրի բույնը` նրանք վերջիններիս կողմից մայրական խնամքի են ենթարկվում: Մրջյունները ուղղակիորեն սնուցում են այս թրթուրին, մինչև որ այն հասունանում է:
1. Դոդեր

Շատ բուսատեսակներ ուղղակի պասիվ են, այնինչ այս բույսը, որը կոչվում է դոդեր կամ կուսկուտա, իրենից մակաբույծ է ներկայացնում: Այն գոյատևում է այլ բույսերի հաշվին: Այս բույսը չի սպասում հարմար օրգանիզմի հայտնվելուն, այլ դրա որթը ինքն է որսում այն: Այն դրանք քաշում է դեպի իրեն` աճելով դեպի այդ օրգանիզմները, դրանց արտադրած քիմիական միացությունների հետքով ձգվելով: Այն կարողանում է աճել անհավանական արագությամբ ու տարածվել իր զոհերի հաշվին:



