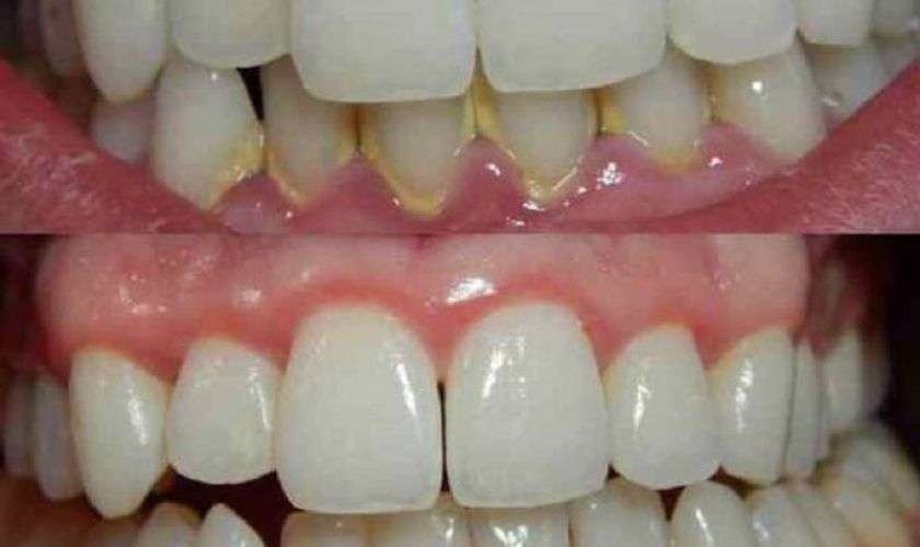
Поддержание здоровой полости рта важно для общего здоровья и уверенности в себе, а налет — общая проблема. Налет превращается в зубной камень, когда его не убирают вовремя, он образован накопленными бактериями во рту. Вы можете заметить его, как жесткий желтоватый слой на ваших зубах. Удаление зубного камня обычно требует посещения вашего дантиста, однако вы можете удалить его у себя дома, используя натуральные средства.
Удалите зубной налет на дому естественным образом.
Вот некоторые из способов, которые помогут вам сохранить свою белоснежную улыбку:
- Пищевая сода.
Это самый известный и часто используемый инструмент для удаления налета. Просто насыпьте небольшое количество пищевой соды в маленький контейнер, намочите зубную щетку, нанесите на нее немного пищевой соды и почистите зубы. Вы можете подмешать щепотку соли в соду для большей очищающей способности. Это эффективно удаляет налет за гроши.
Вы можете даже сделать свое собственное средство для полоскания полости рта: вам понадобится половина стакана соды, один стакан воды, 10 капель эфирного масла лимона, 4 чайных ложки растительного глицерина и 1 чайная ложка алоэ вера. Смешайте все ингредиенты и храните в бутылке, используйте один или два раза в день.
Обновление: хотя в этом рецепте мы использовали растительный глицерин, и почти все коммерческие зубные пасты используют глицерин, многие дантисты говорят, что эта глицериновая пленка на зубах может помешать зубам реминерализоваться и, следовательно, ослабит ваши зубы.
- Клубника и помидоры
Клубника и помидоры содержат большое количество витамина С, который отлично подходит для здоровья полости рта. Потрите этими фруктами непосредственно сами зубы и оставьте эту массу на зубах в течение 5 минут, это смягчит накопленный налет. Затем промойте рот пищевой содой, смешанной с теплой водой, чтобы удалить налет, оставив вам чистые жемчужные зубы. Вы также можете использовать другие богатые витамином C продукты, такие как сладкий перец, ягоды, лимоны, папайя, апельсины и лайм.
- Пищевой краситель
Использование пищевого красителя — отличный способ определить зубной налет на ваших зубах. Сначала нанесите небольшое количество вазелина на губы, чтобы предотвратить их окрашивание, возьмите пару капель красителя, разведенного в чайной ложке воды, и пополощите им рот, а затем промойте чистой водой. Ищите цветные области и удалите их своей зубной щеткой. При регулярной чистке обратите особое внимание на эти области рта.
- Сыры
Употребляя унцию сыра до еды, помогает нейтрализовать кислоты, которые влияют на производство налета. Более пожилые, душистые сыры работают лучше всего. Mothernature.com объясняет, что компонент в выдержанном сыре действует как буферный агент. Центр студенческого ухода в Чикагском университете предлагает есть сырой арахис для такого же эффекта, нейтрализуя кислоты во рту и повторно минерализуя зубы.
Помимо этих средств есть еще несколько вещей, которые вы можете внедрить в свой режим заботы о полости рта:
- Регулярно чистите зубы мягкой щеткой, используя вертикальные движения. Сосредоточьтесь на пространстве, где встречаются зубы и десна.
- Регулярно используйте зубную нить для удаления частиц пищи и бактерий между зубами.
- Употребление пряной пищи также поможет сохранить ваш рот чистым. Когда вы едите пряную пищу, она стимулирует ваши слюнные железы, и тогда слюна очищает ваш рот естественным путем.
- Протрите зубы апельсиновой кожурой перед сном и не смывайте. Это поможет вашим зубам бороться с бактериями.
- Бросьте курить, табачные изделия содержат смолу, которая прилипает к вашим зубам, что приводит к накоплению налета.


