Почему у некоторых людей есть пломбы на зубах? Когда зубы повреждаются или начинают крошиться, это основной способ медицинского вмешательства для возвращения зубов к нормальному функционированию.
Существует много видов пломб: все зависит от стоимости и качества!
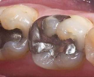
Стоматологи пользовались серебряными пломбами много лет назад. Оказалось, некоторые используют их и по сей день!
Они стоят дешево, но свойства металла, залитого в Ваши зубы, приносит больше вреда, чем пользы!

Амальгама представляет собой смесь серебра, меди, олова и ртути.

Ртуть используется в этой смеси потому, что она достаточно мягкая, и позволяет амальгаме зафиксироваться на поврежденном зубе!

Я уверен, Вы не раз слышали об отравлениях ртутью. Это может произойти в том случае, если в организме окажется слишком большое количество этого вещества.

Если ртуть находится внутри нашего рта, такое отравление вполне возможно!

Если у Вас все еще стоят подобные пломбы – немедленно к стоматологу!

Не забудьте поделиться этой статьей с близкими и друзьями!


