Чаще всего пациенты глубоко недоумевают от того, что в прямой кишке у них оказываются бутылки, патроны, металлические футляры и другие штуки. А также несколько доказательств того, что на рыбалке стоит быть очень внимательным. Раньше на Фишках был подобный пост. Смотрим продолжение.
Пациент выпил алкогольный напиток с патроном за два дня до похода к врачу
Воздух позволяет увидеть бутылку в прямой кишке (тёмная область)
Распылитель в прямой кишке
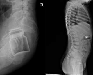
Баночка дезодоранта
Ещё одна бутылочка
Секс-игрушка
Вот так выглядит кардиостимулятор. Хоть он на своём месте )
Крюк с креветкой, зацепленный за ухо.
Крючок, зацепленный за губу
Кольцо в желудке
Когда пациент забыл снять штаны
Металлический футляр для сигары
Вид на футляр с другой стороны
А вот и "виновник" торжества
Пластиковая рука в кишке
Другой вид на неё же
Банка из-под кофе, крышка которой заколочена гвоздями























