Голливудскую улыбку мечтает иметь каждый. И самый легкий способ добиться безупречной белизны зубов – это моментальное отбеливание. Стоит заметить, что это услуга недешевая и если где-то в рекламе вы увидите подобное средство по копеечной цене тысячу раз подумайте, а не станните ли вы жертвой своей экономии. Вашему вниманию тест одного из подобных недорогих средств. 
Через 2 недели после оформления заказа на сайте лак приехал на почту.
Нашелся и смелый доброволец, который не побоялся предоставить свои зубы для тест-драйва. А смелость была нужна, т.к. еще при заказе мне так и не смогли дать информацию, из чего же это чудо-средство сделано. Обещания выслать сертификат так и остались обещаниями.
Что же было в почтовой коробке? Сам лак и филькина грамота к нему вместо инструкции.
Уже при распаковке стало очевидно, что продукция — полнейшая кустарщина: никаких упаковок, прилепленная кое-как на бутылочку этикетка "… временная зубная эмаль", инструкция, распечатанная на обычной бумаге на струйном принтере… Кстати, очень занимательная бумажка оказалась.
В частности, в этой «инструкции» ни слова не написано о составе препарата, кроме того, что состоит он из натуральных и качественных компонентов»… Действительно, при открытии флакона было совсем не сложно догадаться о натуральности компонентов… по знакомому любой женщине запаху ацетона. Нет, вы не подумайте — ацетон и впрямь качественный… воняет как надо! При этом, если верить инструкции, «лак не вредит слизистой оболочке полости рта, подходит большинству людей, включая людей младшего и пожилого возраста». Хотел бы я посмотреть в лицо мамаше, которая намажет зубы лаком для ногтей (по сути) своему ребенку. Так… красоты ради. В противопоказаниях указана только «аллергия на компоненты», хотя о самих компонентах нам дано знать только то, что они «качественные и натуральные». Видимо, у тех, кто позарится отбеливать свои зубы такой фигней, действительно, должна быть аллергия на качество. Ну, и на закуску, с русским языком у сочинителей инструкции такая же беда, как и со всем остальным… «лак предназначен для профессионального применения – его следует наносить гримеру или специалисту по спецэффектам и гриму». Что хотели этим сказать предприимчивые товарищи? Пойди догадайся. То ли, что желающим иметь белые зубы надо искать теперь не стоматологов, а гримеров… то ли, что мазать этим средством можно только зубы гримеров, если, конечно, сначала их заловить в темном переулке.
В общем, пробовать само средство после изучения инструкции было уже не обязательно, но эксперимент был бы неполным…
Намазали…
Сделаем скидку на то, что у меня не так много опыта в покраске ногтей. Возможно, у той же Леди Гаги получилось бы чуть аккуратнее. Ну а Тимати, как представитель гламура, и вовсе большой спец, поэтому на его фотке с сайта все выглядит куда заманчивее. Не… ну, живенько… беленько так стало.
Правда, думается, канцелярская замазка или самый дешевый лак для ногтей легли бы намного более ровно. Мы на всякий случай нанесли второй слой, как рекомендовано в инструкции…
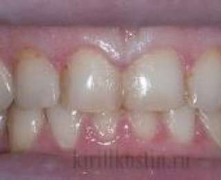
Как видно, это не сильно улучшило вид зубов.
В общем, поразить друзей такими зубами можно. В некоторых кругах с такими зубами вы и впрямь будете выглядеть по-голливудски богато.
Кстати, если вдруг с этой замазкой на зубах вы хоть что-нибудь попьете или съедите, то будете выглядеть так:
Даже в канцелярских целях эта дрянь себя не оправдала — жидкая, сохнет плохо, и к тому же слишком прозрачная.
Так что пристроить чудо-отбеливающее средство за 2000 руб (!!!) оказалось возможным только в помойку. Где ему и место. А вот где место распространителей этого лохотрона? Надеюсь, что у этих предприимчивых мошенников, впаривающих низкокачественную канцелярскую замазку за 2000 руб под видом отбеливающего средства, хотя бы поуменьшится покупателей. Так что не стесняйтесь рассказать своим друзьям об этом «чудо-средстве».


