Иногда зубы могут появляться там, где их быть не должно. Иногда таких зубов бывает очень много. Ниже перечислен ряд случаев совершенно неестественного расположения зубов, и некоторые из этих случаев по-настоящему пугают.
1. У подростка удалили 232 зуба
Врачи из госпиталя JJ обнаружили 232 зуба во рту 17-летнего мальчика. Их удалили в ходе операции, которая длилась более 6 часов. В стоматологическом отделении госпиталя решили сообщить об этом случае в Книгу рекордов Гиннеса, как о самом большом количестве зубов, извлечённых изо рта человека. Мальчик, Ашик Гаваи, проживает в одной из деревень, находящихся в области Амравати. Примерно год назад его семья заметила опухоль на нижней челюсти мальчика, однако местные врачи так и не смогли определить, в чём проблема. В семье мальчика даже боялись, что у него рак. А затем Ашику был поставлен диагноз «одонтома», то есть доброкачественная опухоль, состоящая из зубов. Она могла вызвать трудности с едой, с глотанием, и привести к некрасивому, хотя и не опасному отёку лица. Из опухоли в челюсти Ашика врачи извлекли 232 зуба. Назвав это «медицинским чудом», врачи сообщили, что теперь у мальчика нормальный набор из 28 зубов.
2. Доктора извлекли зуб из носа человека
Кровотечения из носа весьма распространены, как среди детей, так и среди взрослых, однако частые носовые кровотечения одного молодого человека имели весьма необычную причину: у него в носу рос зуб. 22-х летний мужчина из Саудовской Аравии страдал от кровотечений из носа дважды в месяц, в течение трёх лет. В конце концов он решил обратиться к врачу, который и обнаружил в его носу белую, как слоновая кость, костистую массу, длиной около 1 см. Врач проконсультировался со стоматологами, и они пришли к выводу, что костистая масса на самом деле является зубом, который по какой-то причине вырос в носу. После этого зуб был удалён.
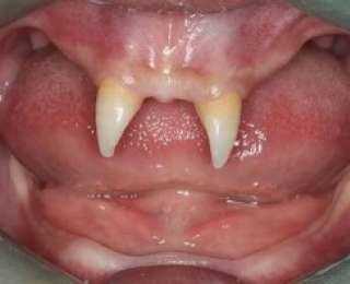
3. Подросток отрастил себе зубы вампира
У китайского мальчика выросло два очень острых передних зуба, в результате чего он стал похож на вампира. В декабре 2012-го года мать по имени Ван Хуэй отвезла своего сына Ван Пенфэя в местную больницу, на обследование. Мальчик из муниципалитета Чунцин после рождения очень плохо рос, а во рту у него появилось два острых клыка. Ван Хуэй пыталась выяснить причину появления во рту сына этих ненормальных образований, и посетила бесчисленное количество врачей, однако особого успеха это не принесло. Врачи из Юго-Западного госпиталя говорят, что её сыну можно будет сделать операцию, только когда он станет взрослым. Стоимость этой операции может варьироваться от 70000 до 80000 юаней, это примерно 15000 $. По словам Ван Хуэй, её сын становится всё более и более замкнутым, и часто дерётся с одноклассниками, которые шепчутся о нём, или косо смотрят на него.
4. Редкая опухоль в мозгу младенца оказалась зубом
4-х месячный ребёнок из штата Мэриленд может оказаться первым человеком, который имел в мозгу опухоль, оказавшуюся зубом. Впервые врачи заподозрили, что-то не так, когда голова ребёнка, казалось, начала расти быстрее, чем это свойственно детям его возраста. Сканирование мозга выявило опухоль, которая содержала в себе структуры, очень напоминающие человеческие зубы, обычно находящиеся в нижней челюсти. Опухоль была удалена, и сейчас мальчик чувствует себя хорошо.
5. Слепой человек восстанавливает зрение после имплантации зуба в глаз
Англичанин Мартин Джонс был слеп на протяжении десятилетия. Тем не менее, в 2009-м году он прозрел. Произошло это после весьма необычной медицинской процедуры: врачи имплантировали ему в глаз фрагмент зуба. Это был клык, который доктора извлекли изо рта Джонса. В основание клыка доктора внедрили искусственный глазной хрусталик, и поместили всю эту конструкцию в глаз, позволяя таким образом хрусталику вырасти до нужных размеров. Ещё изо рта Мартина был взят небольшой кусочек кожи, из которого потом была сделана особая откидная створка с собственной кровеносной системой. Коме того, врачам пришлось уменьшить отверстие в роговице глаза, так, чтобы оно пропускало внутрь глаза меньше света. Эта процедура помогла вернуть зрение уже шести пациентам.
6. Стоматолог вытащил все зубы изо рта пациента
Человек, страдающий аутизмом, остался без зубов после того, как стоматолог удалил из его рта все 32 зуба в ходе процедуры, которая должна была быть самой обычной. 21-летний Кристофер Крист из Индианаполиса отправился к стоматологу для того, чтобы вылечить всего три зуба, с которыми у него были определённые проблемы. Молодой человек утверждает, что после того, как стоматолог дал ему обезболивающих таблеток, возникло «недоразумение», которое и привело к удалению всех его зубов.
7. Человеку удалили зуб из уха, который мучил его в течение 3 десятилетий
Человек из Шеффилда, который десятилетиями мучился от инфекций и болей в ухе, говорит, что теперь все его страдания позади, поскольку врачи наконец-то извлекли зуб из его наружного слухового прохода. 47-летний Стивен Хирст вначале жаловался на проникающие боли в своём правом ухе, и ещё будучи подростком прошёл бесчисленное количество врачей, которые все эти годы пытались обнаружить непонятную причину таинственной болезни. Стивен говорит, что боль иногда была настолько сильной, что заставляла его кричать. Это продолжалось до тех пор, пока врачи из Королевского госпиталя Халламшира не обнаружили зуб, растущий в его ухе. Затем они удалили его. Врачи до сих пор недоумевают, каким образом зуб мог оказаться в наружном слуховом проходе 47-летнего мужчины.
8. Ребёнок родился с 28 зубами
В 2010-м году многодетная мать Марта Матони шокировала жителей графства Ньяндэруа в Кении, родив здорового мальчика с 28 зубами. По словам Питера Мумеро, местного клинического чиновника, Марта родила своего сына Джеймса Мванги прямо дома. Но после того, как обнаружилось удивительное отклонение, мать и ребёнок были доставлены в местное медицинское учреждение. Сейчас Мванги уже четыре года, он растёт безо всяких осложнений, а в возрасте 8 месяцев он уже ел гитери (традиционное блюдо кенийской кухни).
9. Хирурги обнаружили 2 зуба внутри глазной опухоли
Нагабхушэнэм Шива, 23-х летняя женщина из Индии, однажды очень удивилась, также, как и её врачи, когда обнаружилось, что два полностью сформированных зуба находятся прямо внутри опухоли, которую эта женщина имела в глазу с рождения. Опухоль постепенно увеличивалась в размерах в течение многих лет. Когда зрение женщины стало ухудшаться, она обратилась к докторам. Поскольку лечить опухоль начали поздно, она уже успела затронуть зрительный нерв. Это привело к тому, что женщина навсегда ослепла на один глаз. Тем не менее, хирурги удалили опухоль, и в ходе этой процедуры обнаружились зубы.
10. Рыба с человеческими зубами
Паку — это южноамериканская пресноводная рыба, обитающая в большинстве рек и притоков Амазонского бассейна, и бассейна реки Ориноко. Также известно, что эта рыба есть в Папуа-Новой Гвинее, однако там её разводят искусственно, для того, чтобы помочь местной рыбной промышленности. Паку является родственником пираньи, хотя предпочтения в еде у этих рыб разные. Пиранья является исключительно плотоядной рыбой, в то время как паку рыба всеядная, и больше предпочитает растительную пищу. Различие просматривается и в структуре зубов этих рыб. Зубы пираньи — острые, словно бритва, тогда как у паку зубы прямые, квадратные, и пугающе похожи на человеческие. Паку далеко не так плотоядна и агрессивна, как пиранья, но и её челюсти обладают сокрушительной силой. Одному малышу потребовалась операция после того, как паку укусила его за палец в «Эдинбургском мире бабочек и насекомых», в Шотландии. Комментируя этот инцидент, Мэттью Кейн, главный зоолог из «Мира морских глубин», сообщил: «Паку съест что угодно, даже если это будут шевелящиеся детские пальцы».












