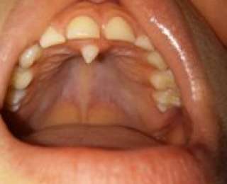
Мне всегда казалось, что 33-й зуб бывает только в кино, да и сами стоматологи утверждают, что человеческий рот рассчитан на 32 зуба и лишний туда не влезет. Но жизнь с ее гребаной экологией постоянно опровергает фундаментальную науку. Или, может быть, действительно вампиры существуют, и байки про графа Дракулу - никакой не вымысел? Тогда перед нами - его прямой наследник.
Мысли и позиции, опубликованные на сайте, являются собственностью авторов, и могут не совпадать с точкой зрения редакции BlogNews.am.
print
Распечатать



