Ներկայացնում ենք 6 օրգան, որոնք այլևս պետք չեն:
1. Պոչուկ
Պոչուկն ամենաիսկական պոչ է: Մի ժամանակ այն ծառայել է որպես հավասարակշռության և սոցիալական ազդանշանների օրգան: Մեր օրերում այս օրգանի դիմացի մասերն անհրաժեշտ են փոքր կոնքի մկանների և ջիլերի ամրացման համար:
Բացի դրանից՝ պոչուկն օգնում է հավասարաչափ բաշխել ծանրաբեռնվածությունը հետույքի վրա:
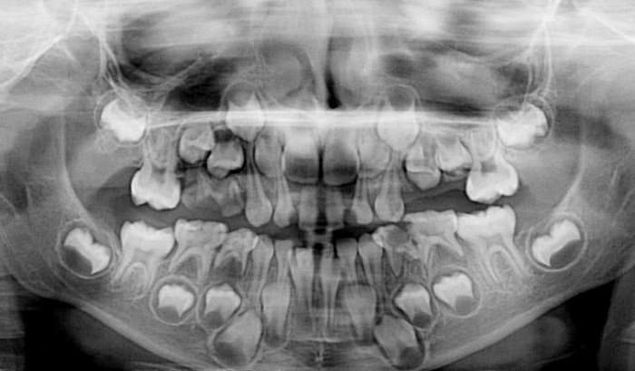
2. Իմաստության ատամներ

Ըստ վիճակագրության՝ շատ երեխաներ այսօր ծնվում են առանց իմաստության ատամների տեղերի:
Նախկինում, երբ մարդը կոշտ սնունդ էր ուտում, ծնոտը զգալիորեն ավելի մեծ էր, իմաստության ատամներն անհրաժեշտ էին, օգնում էին սնունդը լավ ծամել:

Իսկ հիմա, երբ սնունդը ենթարկվում է ջերմային մշակման, իսկ ծնոտը փոքրացել է, իմաստության ատամներին տեղը չի բավարարում ատամնաշարում:
Դրանք տարբեր կերպ են աճում՝ խանգարելով բերանի խոռոչի ընդհանուր հիգիենային:
3. Կույր աղիք

Մեր օրերում կույր աղիքը հեշտությամբ վիրահատվում է, իսկ Միջնադարում դրա բորբոքումը մահացու դատավճիռ էր համարվում:

Այն մեր նախնիներին օգնում էր մարսել կոշտ սնունդը, նաև նպաստում էր ամբողջ օրգանիզմի գործունեությանը: Մեր օրերում կույր աղիքը չի կատարում լուրջ մարսողական գործառույթ, սակայն պահպանում է հորմոնալ, սեկրետորային և պաշտպանիչ գործառույթները:
4. Ականջի մկաններ

Ականջախեցին շրջապատող մկանները մեր նախնիներին օգնում էին շարժել ականջները գիշատիչների, ցեղակիցների կամ որսի մոտենալն ավելի լավ լսելու համար:
5. Կոկորդի փորոքներ

Իրական և կեղծ ձայնային ծալքերի միջև գտնվող այս փորոքներըով մեր նախնիները ձայնի ռեզոնանս էին ստեղծում: Դա օգնում էր որոշակի ձայների շարք ստանալ շփման համար և կոկորդը պաշտպանել:
6. Որովայնի բրգաձև մկան

Այս մկանը նշանակություն ունի միայն պարկավոր կենդանիների համար: Շատ մարդիկ սրանից չունեն: Իսկ ունեցողներին օգնում է քաշել որովայնի սպիտակ գիծը:



